Журнал «Здоровье ребенка» Том 21, №1, 2026
Вернуться к номеру
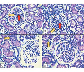
Гістопатологічні закономірності та клінічна варіабельність при гострому проліферативному гломерулонефриті в дітей: опис чотирьох випадків
Авторы: Tiffany Wongsodiharjo (1), Anny Setijo Rahaju (1, 2), Agus Budiarto (1, 2), Risky Vitria Prasetyo (1, 2), Ninik Asmaningsih (1, 2), Muhammad Riza Kurniawan (1, 2)
(1) - Faculty of Medicine, Universitas Airlangga, Surabaya, Indonesia
(2) - Dr. Soetomo General Academic Hospital, Surabaya, Indonesia
Рубрики: Педиатрия/Неонатология
Разделы: Справочник специалиста
Версия для печати
Актуальність. ІФ-негативний гострий проліферативний гломерулонефрит (ГПГН) становить суттєву діагностичну проблему, особливо коли рівень комплементу нормальний, а серологічні маркери неінформативні. Хоча класичний ГПГН характеризується низьким рівнем C3 та гранулярними C3-домінантними імунними відкладеннями, зростаюча кількість педіатричних випадків має атипові закономірності, що підвищує ризик помилкової класифікації його як C3-гломерулопатії або IgA-нефропатії. Опис клінічних випадків. Наведено чотири педіатричні випадки ГПГН із гетерогенними серологічними й імунопатологічними характеристиками. У всіх дітей спостерігалися ознаки нефриту, включно з гематурією, набряками та гіпертензією. Незважаючи на подібність клінічних проявів, у трьох із чотирьох біоптатів імунні відкладення були відсутні або виявлені в мінімальній кількості, що контрастує з очікуваним гранулярним C3-патерном «зоряного неба». Світлова мікроскопія продемонструвала мезангіальну й ендокапілярну проліферацію, причому в одному випадку спостерігалося утворення півмісяців. Рівні комплементу, як і титри ASO, були в межах норми в усіх пацієнтів. Клінічне поліпшення на тлі лише підтримувальної терапії спостерігалося в усіх дітей, що додатково підтверджує діагноз ГПГН, незважаючи на атипові імунопатологічні знахідки. Висновки. Переважання ІФ-негативних біопсій у цій серії підкреслює суттєвий вплив термінів їх проведення та фази захворювання на визначення імунних комплексів при ГПГН. Такі атипові прояви становлять діагностичний ризик, особливо щодо помилкового діагностування хвороби як C3-гломерулопатії або IgA-нефропатії. Усвідомлення часової варіабельності є критично важливим, оскільки всі пацієнти в цій серії одужали на тлі підтримувальної терапії, що підкреслює важливість ранньої біопсії та ретельної клініко-патологічної інтеграції в рутинну клінічну практику.
Background. IF-negative acute proliferative glomerulonephritis (APIGN) represents a significant diagnostic pitfall, particularly when complement levels are normal and serological markers are inconclusive. Although classical APIGN is characterized by low C3 and granular C3-dominant immune deposits, an increasing number of pediatric cases present with atypical patterns, raising the risk of misclassification as C3 glomerulopathy or IgA nephropathy. Case reports. We report four pediatric APIGN cases exhibiting heterogeneous serological and immunopathological profiles. All children presented with nephritic features, including hematuria, edema, and hypertension. Despite these similarities, three of the four kidney biopsies demonstrated absent or minimal immune deposits, contrasting with the expected “starry-sky” granular C3 pattern. Light microscopy consistently showed mesangial and endocapillary proliferation, with one case demonstrating crescent formation. Complement levels were within normal limits in all patients, as well as ASO titers. All children experienced clinical improvement with supportive therapy alone, further confirming the diagnosis of APIGN despite atypical immunopathological findings. Conclusions. The predominance of IF-negative biopsies in this series highlights the strong influence of biopsy timing and disease phase on immune-complex detectability in APIGN. Such atypical presentations pose a diagnostic risk, particularly for misclassification as C3 glomerulopathy or IgA nephropathy. Recognition of this temporal variability is crucial, as all patients in this series recovered with supportive management, underscoring the importance of early biopsy and careful clinicopathological integration in routine clinical practice.
гострий проліферативний гломерулонефрит; діти; біопсія нирок; гістопатологія; хронічна хвороба нирок
acute proliferative glomerulonephritis; children; renal biopsy; histopathology; chronic kidney disease
Для ознакомления с полным содержанием статьи необходимо оформить подписку на журнал.
- Iyengar A, Kamath N, Radhakrishnan J, Estebanez BT. Infection-Related Glomerulonephritis in Children and Adults. Semin Nephrol. 2023;43:151469. doi: 10.1016/j.semnephrol.2023.151469.
- Akteruzzaman M, Paul SK, Parveen S, Sarker NR, Ahmed S, Habib R Bin, et al. Clinical Presentations and Outcome of Acute Glomerulonephritis in Children. Bangladesh Med J. 2019;48:13-7. doi: 10.3329/bmj.v48i1.50186.
- Wetmore JB, Guo H, Liu J, Collins AJ, Gilbertson DT. The incidence, prevalence, and outcomes of glomerulonephritis derived from a large retrospective analysis. Kidney Int. 2016;90:853-60. doi: 10.1016/j.kint.2016.04.026.
- Hogan J, Mohan P, Appel GB. Diagnostic Tests and Treatment Options in Glomerular Disease: 2014 Update. American Journal of Kidney Diseases. 2014;63:656-66. doi: 10.1053/j.ajkd.2013.09.019.
- Oda T, Yoshizawa N. Factors Affecting the Progression of Infection-Related Glomerulonephritis to Chronic Kidney Disease. Int J Mol Sci. 2021;22:905. doi: 10.3390/ijms22020905.
- Messias N. Immunofluorescence Use and Techniques in Glomerular Diseases: A Review. Glomerular Dis. 2024;4:227-40. doi: 10.1159/000542497.
- Amatya M, Pant AD. Clinical and histopathological study of renal biopsy in Nepalese children: A single center experience. PLoS One. 2022;17:e0276172. doi: 10.1371/journal.pone.0276172.
- Keskin DM, Belviranlı Keskin P, Kocaoğlu M, Yıldırım A, Eğil O. Factors Affecting Glomerular Filtration Rate and Length of Hospitalization in Pediatric Acute Poststreptococcal Glomerulonephritis: A Decade-Long Observational Study. Güncel Pediatri. 2024;22:1-8. doi: 10.4274/jcp.2024.55476.
- Anigilaje EA, Elike CM. Childhood Acute Post-infectious Glome–rulonephritis: A Study of Clinical Profile and Outcomes at the University of Abuja Teaching Hospital, Abuja, Nigeria, 2016 to 2021. Tropical Journal of Nephrology. 2022;17.
- Bateman E, Mansour S, Okafor E, Arrington K, Hong B-Y, Cervantes J. Examining the Efficacy of Antimicrobial Therapy in Preventing the Development of Postinfectious Glomerulonephritis: A Systematic Review and Meta-Analysis. Infect Dis Rep. 2022;14:176-83. doi: 10.3390/idr14020022.
- Kher KK. Acute Glomerular Diseases in Children. Open Urol Nephrol J. 2015;8:104-16. doi: 10.2174/1874303X015080100104.
- VanDeVoorde RG. Acute poststreptococcal glomerulonephritis: the most common acute glomerulonephritis. Pediatr Rev. 2015;36:3-12; quiz 13. doi: 10.1542/pir.36-1-3.
- Al-Hussain T, Asiri S, Amer S, Al Mana H, Akhtar M. Patterns of glomerulonephritis with crescents: Experience at a tertiary medical center in Saudi Arabia. Saudi J Kidney Dis Transpl. 2017;28:532-7. doi: 10.4103/1319-2442.206448.
- Havill JP, Levine SM, Kuperman M, Hellmann DB, Geetha D. Falling through the cracks of vasculitis classification — a report of three patients. NDT Plus. 2011;4:327-30. doi: 10.1093/ndtplus/sfr054.
- Soyaltın E, Çamlar SA, Alaygut D, Mutlubaş F, Yavaşcan Ö, Solakoğlu S, et al. A diagnostic dilemma in a child with macroscopic hematuria, nephrotic syndrome, and hypocomplementemia: Questions. Pediatric Nephrology. 2020;35:1211-2. doi: 10.1007/s00467-019-04451-z.
- Fogo AB, Kashgarian M. Diagnostic atlas of renal pathology. 3rd ed. Philadelphia, PA: Elsevier; 2017.
- Trimarchi H, Barratt J, Cattran DC, Cook HT, Coppo R, Haas M, et al. Oxford Classification of IgA nephropathy 2016: an update from the IgA Nephropathy Classification Working Group. Kidney Int. 2017;91:1014-21. doi: 10.1016/j.kint.2017.02.003.
- Takagi Y, Kano Y, Oda T, Suzuki H, Ono Y, Yoshihara S. Pediatric IgA-Dominant Infection-Related Glomerulonephritis. Tohoku J Exp Med. 2024;263:2024.J018. doi: 10.1620/tjem.2024.J018.
