Інформація призначена тільки для фахівців сфери охорони здоров'я, осіб,
які мають вищу або середню спеціальну медичну освіту.

Підтвердіть, що Ви є фахівцем у сфері охорони здоров'я.

Международный неврологический журнал Том 21, №3, 2025

Вернуться к номеру

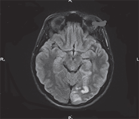
Інсульт у молодих: етіопатогенетичні механізми (бібліосемантичний аналіз). Клінічний випадок із власної практики

Авторы: Шкробот С.І., Бударна О.Ю., Дуве Х.В., Ткачук Н.І.
Тернопільський національний медичний університет імені І.Я. Горбачевського МОЗ України, м. Тернопіль, Україна

Рубрики: Неврология

Разделы: Справочник специалиста

Версия для печати


Резюме

В огляді літератури показано, що ішемічний інсульт в осіб молодого віку становить 10–15 % серед усіх вікових груп. Серед етіологічних факторів ризику найбільш важливе місце займають артеріальна гіпертензія, аномалії розвитку судин, генетично зумовлені фактори — при патології серця (порушення ритму і провідності, відкрите овальне вікно), нирок. Наприклад, щорічний приріст ішемічного інсульту в осіб молодого віку відмічається за рахунок дисекції екстракраніальних артерій (на 2,4 в розрахунку на 100 тис. населення). Важливу роль відіграють антифосфоліпідний синдром, кардіальна емболія в результаті тромботичних уражень клапанів серця, гострого інфаркту міокарда, вади міжшлуночкової або міжпередсердної перегородки, васкуліти, зумовлені різними інфекційними та системними захворюваннями, хвороба мойя-мойя, мітохондріальні енцефалопатії, гіпергомоцистеїнемія, вроджена патологія магістральних артерій голови і шиї (подовження, перегин, петлеутворення). Виокремлено фактори ризику, зокрема, наявність мігрені з аурою, вживання естрогенвмісних оральних контрацептивів, тютюнокуріння, вживання алкоголю у великих кількостях та наркотиків. Описані основні протромботичні стани, що асоціюються з розвитком ішемічного інсульту в осіб молодого віку, — вагітність та післяпологовий період, перенесений COVID-19, онкопатологія. Таким чином, визначено багатофакторність розвитку інсульту в осіб молодого віку. Висвітлено питання діагностики з використанням інструментальних і лабораторних досліджень. Описаний клінічний випадок атеротромботичного ішемічного інсульту у пацієнта молодого віку з власної практики.

The literature review demonstrates that ischemic stroke in young adults accounts for 10–15 % in all age groups. Among the etiological risk factors, the most significant are hypertension, vascular developmental anomalies, and genetically determined factors — particularly in cases of heart pathology (rhythm and conduction disorders, patent foramen ovale) and kidney di-seases. For example, the annual increase in ischemic stroke among young adults is attributed to extracranial artery dissection, with a 2.4-fold rise per 100,000 population. An important role is played by antiphospholipid syndrome, cardiac embolism resulting from thrombotic lesions of the heart valves, acute myocardial infarction, ventricular or atrial septal defects, vasculitis caused by various infectious and systemic diseases, moyamoya disease, mitochondrial encephalopathies, hyperhomocysteinemia, and congenital pathology of the major arteries of the head and neck (elongation, kinking, looping). Identified risk factors include the presence of migraine with aura, the use of estrogen-containing oral contraceptives, smoking, excessive alcohol consumption, and drug use. The main prothrombotic conditions associated with the development of ischemic stroke in young adults are described, including pregnancy and the postpartum period, a history of COVID-19, and cancer. Thus, the multifactorial nature of stroke development in young adults has been identified. The review highlights diagnostic approaches using instrumental and laboratory investigations. A clinical case of atherothrombotic ischemic stroke in a young patient from personal practice is described.


Ключевые слова

ішемічний інсульт; пацієнти молодого віку; ангіопатія; коагулопатія; дисекція церебральних судин; гіпергомоцистеїнемія

ischemic stroke; young patients; angiopathy; coagulopathy; dissection of cerebral vessels; hyperhomocysteinemia


Для ознакомления с полным содержанием статьи необходимо оформить подписку на журнал.


Список литературы

1. Singhal A.B., Biller J., Elkind M.S., Fullerton H.J., Jauch E.C., Kittner S.J., et al. Recognition and management of stroke in young adults and adolescents. Neurology. 2013;81:1089-1097. doi: 10.1212/WNL.0b013e3182a4a451.
2. Maaijwee N.A., Rutten-Jacobs L.C., Schaapsmeerders P., van Dijk E.J., de Leeuw F.E. Ischaemic stroke in young adults: risk factors and long-term consequences. Nat Rev Neurol. 2014;10:315-325. doi: 10.1038/nrneurol.2014.72.
3. Bukhari S., Yaghi Sh., Bashir Z. Stroke in Young Adults. Journal of Clinical Medicine. 2023. Jul 29;12(15):4999. doi: 10.3390/jcm12154999.
4. Ji R., Schwamm L.H., Pervez M.A., Singhal A.B. Ischemic stroke and transient ischemic attack in young adults: risk factors, diagnostic field, neuroimaging, and thrombolysis. JAMA Neurol. 2013;70:51-57. doi: 10.1001/jamaneurol.2013.575.
5. Mihai D., Plesa F.C., Docu Axelerad A., Munteanu A., Ghinescu M.C., Sirbu C.A. Ischemic Stroke in Young Adults: Practical Diagnosis Guide. Submitted: 16 February 2020 Reviewed: 27 April, 2020. Published: 01 June 2020. doi: 10.5772/intechopen.92671.
6. George M.G., Tong X., Kuklina E.V., Labarthe D.R. Trends in stroke hospitalizations and associated risk factors among children and young adults, 1995–2008. Ann. Neurol. 2011;70:713-721. doi: 10.1002/ana.22539. 
7. Rutten-Jacobs L.C., Arntz R.M., Maaijwee N.A., Schoonderwaldt H.C., Dorresteijn L.D., van Dijk E.J., et al. Long-term mortality after stroke among adults aged 18 to 50 years. JAMA. 2013;309:1136-1144. doi: 10.1001/jama.2013.842. 
8. Schaapsmeerders P., Maaijwee N.A., van Dijk E.J., Rutten-Jacobs L.C., Arntz R.M., Schoonderwaldt H.C., et al. Long-term cognitive impairment after first-ever ischemic stroke in young adults. Stroke. 2013;44:1621-1628. doi: 10.1161/STROKEAHA.111.000792.
9. Arntz R., Rutten-Jacobs L., Maaijwee N., Schoonderwaldt H., Dorresteijn L., van Dijk E., et al. Post-stroke epilepsy in young adults: A long-term follow-up study. PLoS One. 2013;8:e55498. doi: 10.1371/journal.pone.0055498. 
10. Maaijwee N.A., Arntz R.M., Rutten-Jacobs L.C., Schaapsmeerders P., Schoonderwaldt H.C., van Dijk E.J., et al. Post-stroke fatigue and its association with poor functional outcome after stroke in young adults. J. Neurol. Neurosurg. Psychiatry. 2015;86:1120-1126. doi: 10.1136/jnnp-2014-308784. 
11. Nedeltchev K., der Maur T.A., Georgiadis D., Arnold M., Caso V., Mattle H.P., et al. Ischaemic stroke in young adults: Predictors of outcome and recurrence. J. Neurol. Neurosurg. Psychiatry. 2005;76:191-195. doi: 10.1136/jnnp.2004.040543. 
12. Madsen T.E., Khoury J.C., Leppert M., Alwell K., Moomaw C.J., Sucharew H., et al. Temporal Trends in Stroke Incidence over Time by Sex and Age in the GCNKSS. Stroke. 2020;51:1070-1076. doi: 10.1161/STROKEAHA.120.028910. 
13. Ekker M.S., Verhoeven J.I., Vaartjes I., van Nieuwenhuizen K.M., Klijn C.J.M., de Leeuw F.E. Stroke incidence in young adults according to age, subtype, sex, and time trends. Neurology. 2019;92:e2444-e2454. doi: 10.1212/WNL.0000000000007533.
14. Bjot Y., Daubail B., Jacquin A., Durier J., Osseby G.V., Rouaud O., Giroud M. Trends in the incidence of ischaemic stroke in young adults between 1985 and 2011: The Dijon Stroke Registry. J. Neurol. Neurosurg. Psychiatry. 2014;85:509-513. doi: 10.1136/jnnp-2013-306203. 
15. Leppert M.H., Burke J.F., Lisabeth L.D., Madsen T.E., Kleindorfer D.O., Sillau S., et al. Systematic Review of Sex Diffe–rences in Ischemic Strokes among Young Adults: Are Young Women Disproportionately at Risk? Stroke. 2022;53:319-327. doi: 10.1161/STROKEAHA.121.037117. 
16. George M.G., Tong X., Bowman B.A. Prevalence of Cardiovascular Risk Factors and Strokes in Younger Adults. JAMA Neurol. 2017;74:695-703. doi: 10.1001/jamaneurol.2017.0020. 
17. Bevan H., Sharma K., Bradley W. Stroke in young adults. Stroke. 1990;21:382-386. doi: 10.1161/01.STR.21.3.382. 
18. Schrks M., Rist P.M., Bigal M.E., Buring J.E., Lipton R.B., Kurth T. Migraine and cardiovascular disease: Systematic review and meta-analysis. BMJ. 2009;339:b3914. doi: 10.1136/bmj.b3914. 
19. Swartz R.H., Cayley M.L., Foley N., Ladhani N.N.N., Leffert L., Bushnell C., et al. The incidence of pregnancy-related stroke: A systematic review and meta-analysis. Int. J. Stroke. 2017;12:687-697. doi: 10.1177/1747493017723271. 
20. Elgendy I.Y., Bukhari S., Barakat A.F., Pepine C.J., Lindley K.J., Miller E.C., American College of Cardiology Cardiovascular Disease in Women Committee Maternal Stroke: A Call for Action. Circulation. 2021;143:727-738. doi: 10.1161/CIRCULATIONAHA.120.051460.
21. Bukhari S., Fatima S., Barakat A.F., Fogerty A.E., Weinberg I., Elgendy I.Y. Venous thromboembolism during pregnancy and postpartum period. Eur. J. Intern. Med. 2022;97:8-17. doi: 10.1016/j.ejim.2021.12.013. 
22. Kittner S.J., Stern B.J., Wozniak M., Buchholz D.W., Earley C.J., Feeser B.R., et al. Cerebral infarction in young adults: The Baltimore-Washington Cooperative Young Stroke Study. Neurology. 1998;50:890-894. doi: 10.1212/WNL.50.4.890. 
23. Gillum L.A., Mamidipudi S.K., Johnston S.C. Ischemic stroke risk with oral contraceptives: A meta-analysis. JAMA. 2000;284:72-78. doi: 10.1001/jama.284.1.72.
24. Lidegaard O., Lokkegaard E., Jensen A., Skovlund C.W., Keiding N. Thrombotic stroke and myocardial infarction with hormonal contraception. N. Engl. J. Med. 2012;366:2257-2266. doi: 10.1056/NEJMoa1111840. 
25. Chasan-Taber L., Willett W.C., Manson J.E., Spiegelman D., Hunter D.J., Curhan G., et al. Prospective study of oral contraceptives and hypertension among women in the United States. Circulation. 1996;94:483-489. doi: 10.1161/01.CIR.94.3.483.
26. Urbanus R.T., Siegerink B., Roest M., Rosendaal F.R., de Groot P.G., Algra A. Antiphospholipid antibodies and risk of myocardial infarction and ischaemic stroke in young women in the RATIO study: A case-control study. Lancet Neurol. 2009;8:998-1005. doi: 10.1016/S1474-4422(09)70239-X. 
27. Holmqvist M., Simard J.F., Asplund K., Arkema E.V. Stroke in systemic lupus erythematosus: A meta-analysis of population-based cohort studies. RMD Open. 2015;1:e000168. doi: 10.1136/rmdopen-2015-000168. 
28. Verduzco L.A., Nathan D.G. Sickle cell disease and stroke. Blood. 2009;114:5117-5125. doi: 10.1182/blood-2009-05-220921.
29. Hathidara M.Y., Saini V., Malik A.M. Stroke in the Young: A Global Update. Curr. Neurol. Neurosci. Rep. 2019;19:91. doi: 10.1007/s11910-019-1004-1.
30. Debette S., Leys D. Cervical-artery dissections: Predisposing factors, diagnosis, and outcome. Lancet Neurol. 2009;8:668-678. doi: 10.1016/S1474-4422(09)70084-5. 
31. Bukhari S., Barakat A.F., Eisele Y.S., Nieves R., Jain S., Saba S., et al. Prevalence of Atrial Fibrillation and Thromboembolic Risk in Wild-Type Transthyretin Amyloid Cardiomyopathy. Circulation. 2021;143:1335-1337. doi: 10.1161/CIRCULATIONAHA.120.052136. 
32. Ismael S., Khan M.M., Kumar P., Kodilela S., Mirza Hosseini G., Kumar S., Ishrat T. HIV Associated Risk Factors for Ischemic Stroke and Future Perspectives. Int. J. Mol. Sci. 2020;21:5306. doi: 10.3390/ijms21155306. 
33. Edlow J.A., Selim M.H. Atypical presentations of acute cerebrovascular syndromes. Lancet Neurol. 2011;10:550-560. doi: 10.1016/S1474-4422(11)70069-2. 
34. Pan B., Jin X., Jun L., Qiu S., Zheng Q., Pan M. The relationship between smoking and stroke: A meta-analysis. Medicine. 2019;98:e14872. doi: 10.1097/MD.0000000000014872. 

Вернуться к номеру